Smile Gallery
Our smile gallery showcases some of the beautiful work we've done for patients in our comfortable Santa Barbara dental office! We provide top-notch dental care and services that help our patients create brand-new, amazing smiles.
After a car accident 25 years ago cost this woman her front teeth, she was over the moon to get back a permanent solution to her missing teeth that gave her the confidence to smile again and helped eliminate the clicking she had experienced in her jaw for years.
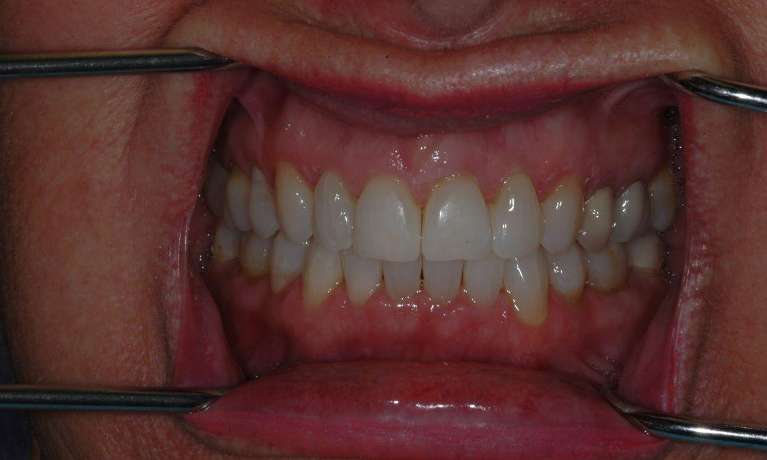
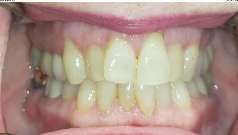
Our patient was not happy with her short and worn teeth. We placed 8 veneers on her upper teeth which gave her the bright white smile she had always dreamed of.
This patient required 8 upper veneers due to years of wear from clenching and grinding his teeth. We also conducted cosmetic bonding to his lower teeth to open and restore his bite.
This 81 year old woman came in after breaking her front tooth enjoying some fruit from her garden and wanted something immediately so she could go on her RV trip across the country. The same day Dr. McWilliams was able to not only give her back her tooth but improve her over all smile with a bridge and 1 crown.
This 65 year old gentleman lost his teeth a few years ago and suffered a terrible stroke that he has been fighting to recover from. His brother wanted him to have the best chance at improving and so we gave him back the ability to chew and enjoy all of his meals with dental implants to replace his missing teeth. Now he is eating anything he wants.
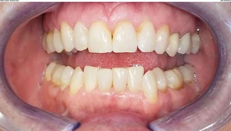
16 months of Invisalign corrected this gentleman's smile.
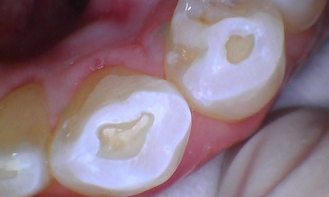
This woman did not like the chipping of her front teeth and had some worn fillings. We discussed and agreed to complete 2 crowns and she could not be happier with the results.
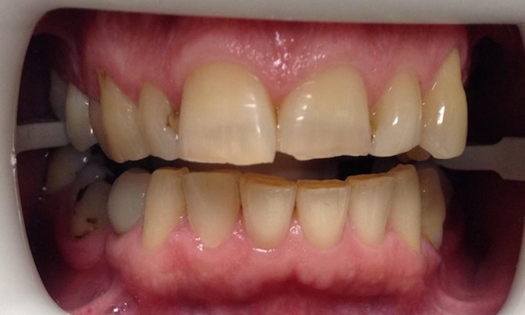
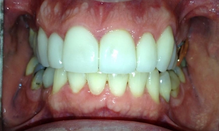
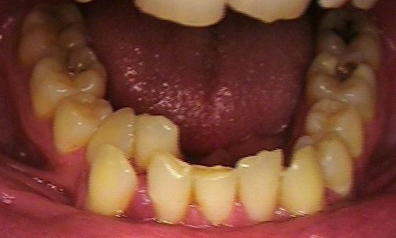
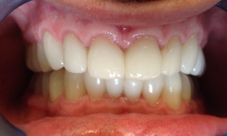
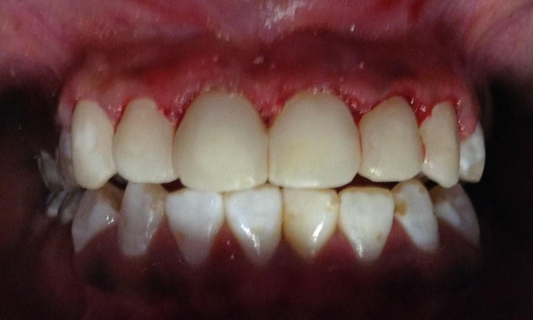
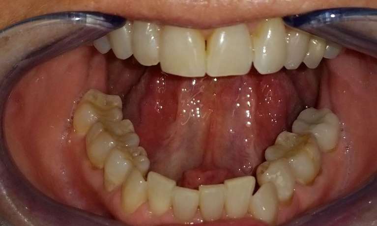
This patient had orthodontics completed incorrectly which led to a severe grinding habit shortened teeth as a result. We had to rebuild his entire mouth, open up his bite and give him proper sized teeth for his face, mouth and smile.
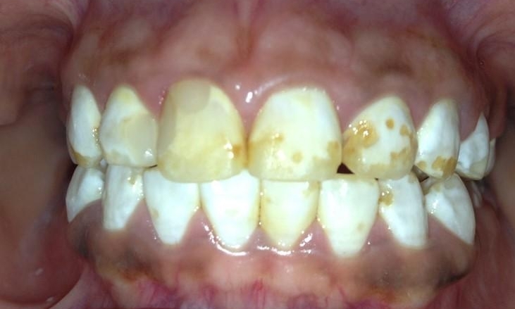
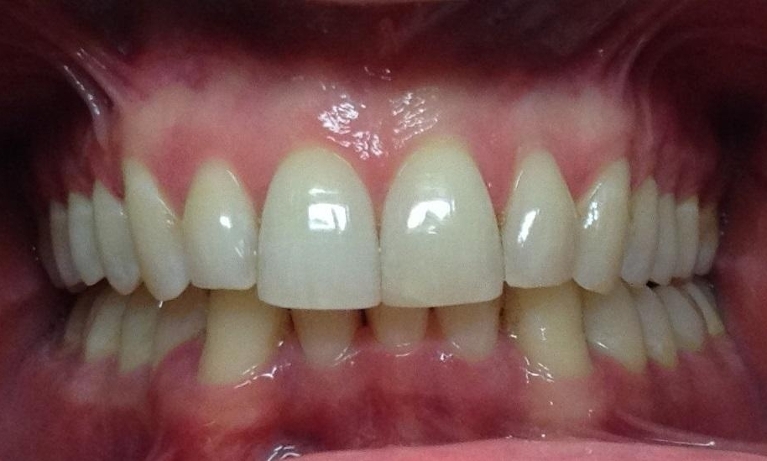
This young woman was born with a developmental defect in her teeth that left her with heavily stained marks, keeping her from smiling. Same-day cosmetic bonding allowed her to have the confidence to smile for her senior pictures and make her mother cry!
This patient was leaving for South Africa in the afternoon and broke his front tooth while eating breakfast. We were able to provide same-day treatment so that he could enjoy his trip.
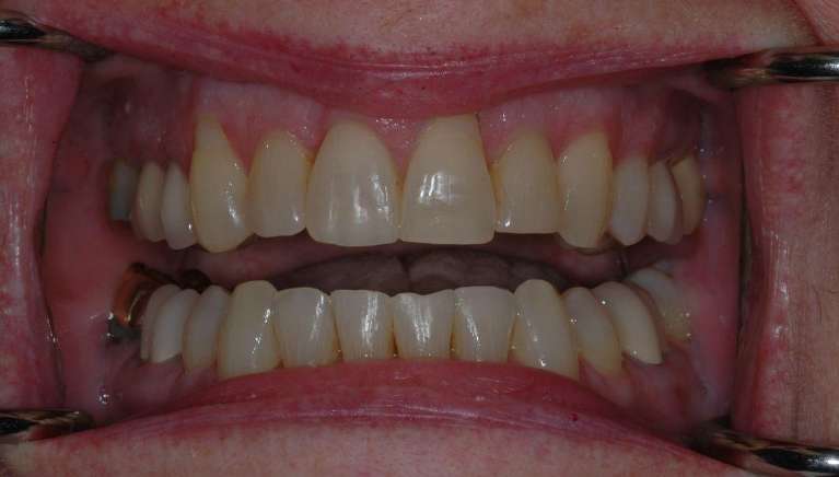
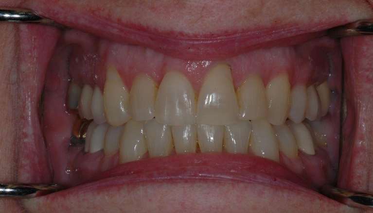
This gentleman was ready to improve his smile after years of being unhappy with the color, shape, and wear of his teeth. After consultation and discussion of his concerns. I also wanted to address how little of his teeth he showed when smiling. After a plan was made and digitally discussed. Gum surgery was completed, followed by 8 upper veneers and composite bonding to his lower anterior teeth. This gave him the smile he always wanted.
This gentleman wanted to be able to enjoy his meals again. We made him a set of dentures that he could eat Steak with! And it also filled in his collapsed facial profile making him look 10 years younger. He later told me he was getting "all kinds of compliments, and loved his new look and ability to eat."
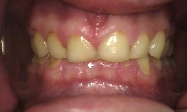
This woman in her 50's who had orthodontics as a child and stopped wearing her retainers years ago. This took 7 months to correct and she is planning to wear her retainers consistently going forward.