Accessible Version
Ben McWilliams DDS

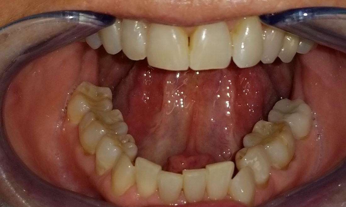
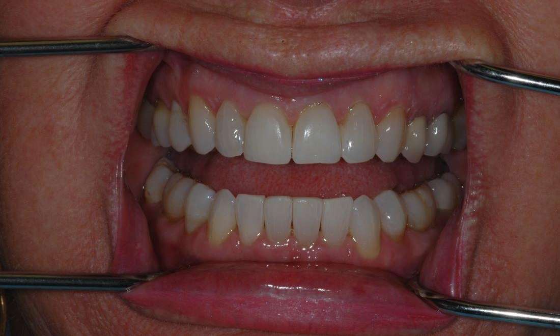
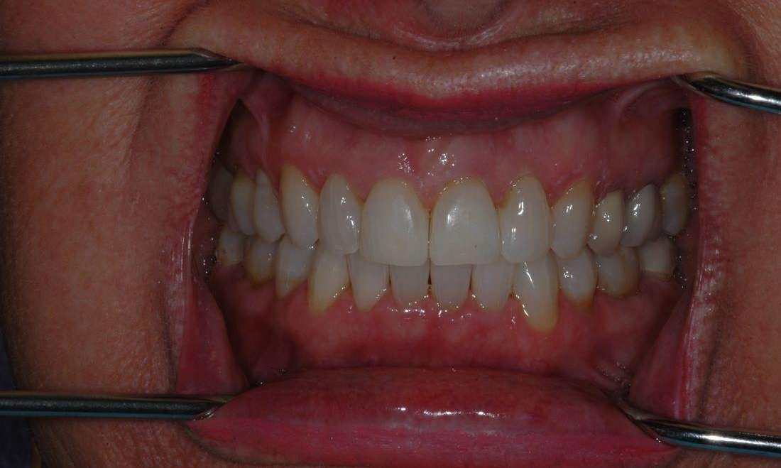
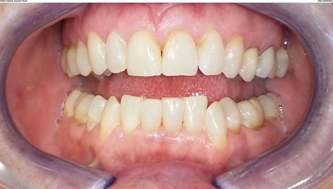
7 Months with Invisalign

This woman in her 50's who had orthodontics as a child and stopped wearing her retainers years ago. This took 7 months to correct and she is planning to wear her retainers consistently going forward.

Related Services:

Invisalign
Getting an appointment is fast and easy!
If you have difficulty using our website, please email us or call us at (805) 687-2000
View the ADA Accessibility Statement
Privacy Policy