Accessible Version
Ben McWilliams DDS

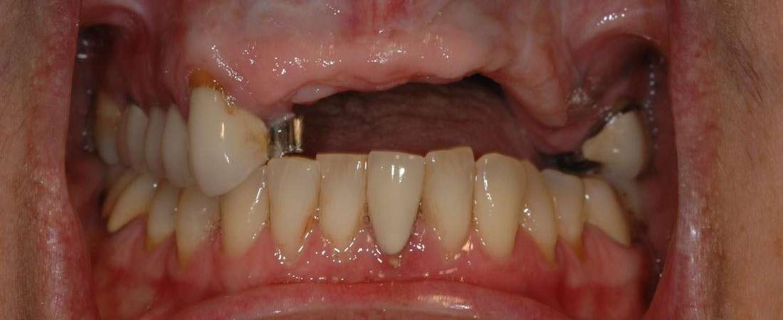
Crowns and Dental implants.

After a car accident 25 years ago cost this woman her front teeth, she was over the moon to get back a permanent solution to her missing teeth that gave her the confidence to smile again and helped eliminate the clicking she had experienced in her jaw for years.

Still need an appointment?
If you have difficulty using our website, please email us or call us at (805) 687-2000
View the ADA Accessibility Statement