Accessible Version
Ben McWilliams DDS

Full Mouth Reconstruction

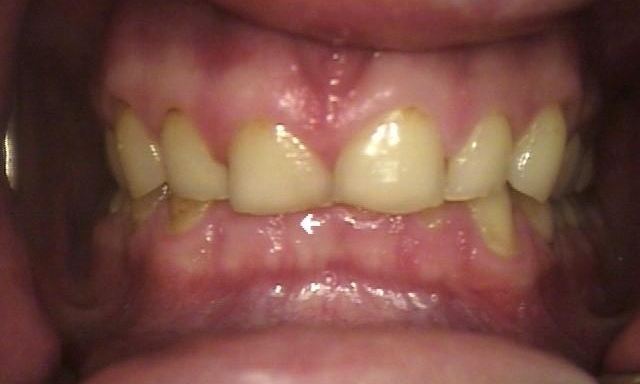
This patient had orthodontics completed incorrectly which led to a severe grinding habit shortened teeth as a result. We had to rebuild his entire mouth, open up his bite and give him proper sized teeth for his face, mouth and smile. 

Related Services:

Cosmetic Dentistry
Ready to book an appointment?
If you have difficulty using our website, please email us or call us at (805) 687-2000
View the ADA Accessibility Statement
Privacy Policy